The Role of a Periodontist in Treating Bleeding Gums

Understand how periodontists treat bleeding gums and maintain gum health through expert care and specialised treatments.

Jul 8, 2025 - 00:27
 15
The Role of a Periodontist in Treating Bleeding Gums
dental Implant Preston

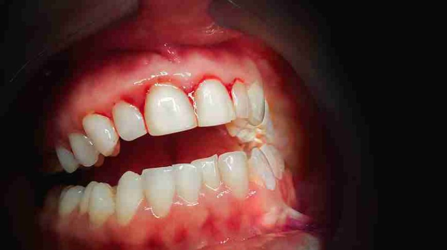
Bleeding gums can be an unsettling sign, often hinting at underlying gum issues that shouldnt be ignored. While many people experience occasional gum bleeding, persistent symptoms might point to more serious conditions that require professional attention. Periodontists are dental specialists focused on the health of gums and supporting structures, playing a crucial role in diagnosing and treating bleeding gums. This post will explain their role, common causes of bleeding gums, treatments available, and how to maintain gum health over time.

What Causes Bleeding Gums?

Bleeding gums occur when the soft tissues around your teeth become inflamed or damaged. Several factors can contribute to this, such as:

  • Gingivitis: The earliest stage of gum disease caused by plaque build-up along the gumline. It leads to red, swollen, and bleeding gums.
  • Periodontitis: If gingivitis is left untreated, it can progress to periodontitis, where infection damages the tissues and bone supporting teeth.
  • Poor Oral Hygiene: Inadequate brushing and flossing allow bacteria to accumulate and irritate gums.
  • Hormonal Changes: Pregnancy, puberty, or menopause can make gums more sensitive.
  • Certain Medications: Some drugs increase bleeding risk or cause dry mouth, contributing to gum problems.
  • Systemic Conditions: Diseases like diabetes or blood disorders can affect gum health.

Bleeding gums can also result from aggressive brushing or flossing, so its essential to use proper techniques. Persistent bleeding, however, should prompt a visit to a specialist.

dental Implant Preston

Who Is a Periodontist?

A periodontist is a dentist who has completed additional training specialising in the prevention, diagnosis, and treatment of periodontal (gum) diseases and conditions affecting the supporting structures of the teeth.

Periodontists are skilled in:

  • Performing detailed examinations to assess gum health.
  • Treating complex gum diseases that general dentists might not manage.
  • Performing surgical procedures such as gum grafts, scaling and root planing, and dental implant placements.
  • Working alongside other dental professionals for comprehensive care.

If you experience persistent bleeding gums, consulting a periodontist ensures you get expert evaluation and targeted treatment tailored to your condition.

Diagnosing Bleeding Gums: What to Expect

When you visit a periodontist for bleeding gums, they will perform a thorough assessment to determine the cause and severity.

Medical and Dental History Review

Understanding your health background, lifestyle, and oral care habits helps identify potential factors affecting your gums.

Clinical Examination

The periodontist checks for signs like redness, swelling, gum recession, and bleeding on probing. They will measure pocket depths between your gums and teeth to detect disease severity.

X-rays and Imaging

Radiographs help reveal bone loss or other underlying problems not visible during the examination.

Sometimes, patients may require urgent attention from anemergency dentist in Prestonfor severe infections or acute symptoms before specialist periodontal care.

Treatment Approaches for Bleeding Gums

Treatment depends on the underlying cause and stage of gum disease. Periodontists offer both non-surgical and surgical options.

Non-Surgical Treatments

  • Professional Dental Cleaning:This removes plaque and tartar that brushing alone cant eliminate.
  • Scaling and Root Planing:A deep cleaning procedure where plaque and tartar are removed from below the gumline, and rough root surfaces are smoothed to discourage bacteria.
  • Antibiotics:Sometimes prescribed to control bacterial infection.

Surgical Treatments

If gum disease has advanced, surgical procedures may be necessary:

  • Flap Surgery:The gums are lifted to remove tartar from deep pockets and then sutured back for better healing.
  • Gum Grafts:Tissue is taken from the roof of the mouth or other sources to cover exposed roots caused by gum recession.
  • Bone Grafts:Used to rebuild bone lost to periodontitis, often essential before placing dental implants.

In severe cases where teeth have been lost or need replacing, periodontists collaborate withdental implant Prestonexperts to plan suitable restorative treatments.

Importance of Ongoing Gum Care

Treating bleeding gums is just the beginning. Maintaining healthy gums long-term requires a commitment to good oral hygiene and regular professional care.

  • Brush your teeth twice daily using a soft-bristled toothbrush and fluoride toothpaste.
  • Floss daily to remove plaque and food debris between teeth.
  • Use antimicrobial mouth rinses if recommended by your periodontist.
  • Attend routine check-ups and cleanings for ongoing monitoring.
  • Avoid smoking, which can worsen gum disease and delay healing.

Such habits reduce the chances of bleeding gums recurring and help protect your smile.

Link Between Gum Health and Overall Wellbeing

Research has shown connections between gum disease and systemic health issues like heart disease, diabetes, and respiratory problems. Treating bleeding gums is thus not only vital for oral health but may also benefit overall physical health.

When to Seek Specialist Help

If your gums bleed regularly, are swollen, tender, or if you notice loose teeth or persistent bad breath, its wise to consult a periodontist. Emergency dentist in Preston services might be necessary if you experience severe pain, swelling, or infection, but specialist periodontal care offers the most effective long-term management.

dental Implant Preston

The Role of Dental Implants in Periodontal Care

Periodontists often work closely with private dentist in Preston colleagues, particularly when replacing teeth lost due to gum disease. Dental implants provide a durable, natural-looking solution and help preserve jawbone integrity, which can deteriorate after tooth loss.

Combining periodontal treatment with dental implants can restore function and confidence, improving patients quality of life.

Aspect

Details

Causes of Bleeding Gums

Gingivitis, periodontitis, poor hygiene, medications

Specialist Role

Diagnosis, advanced treatment, surgeries, implants

Diagnostic Steps

History, examination, probing, X-rays

Treatments

Cleaning, scaling/root planing, antibiotics, surgery

Maintenance

Brushing, flossing, mouthwash, regular check-ups

Overall Health Link

Gum health connected to heart disease, diabetes, more

Implant Care

Implants replace lost teeth, preserve bone, require specialist planning

Conclusion

The expertise of a periodontist is invaluable in diagnosing and treating bleeding gums effectively. From initial assessment through advanced treatments, they ensure comprehensive care that preserves gum health and prevents further complications. Collaborating with private dentist in Preston professionals and emergency dentist in Preston services when necessary allows for seamless management of both gum health and restorative needs.. For trusted periodontal solutions, EDP provides expert guidance and personalised treatment to support your oral wellbeing.