Health

Your Comprehensive Guide to Choosing the Right Piles Do...

Piles, also known as hemorrhoids, affect a significant portion of the adult popu...

Dark Circles Treatment in Dubai: The Benefits of Chemic...

Discover the benefits of chemical peels for dark circles treatment in Dubai, hel...

How to Prepare for Your Gynecomastia in Dubai Consultat...

Get ready for your gynecomastia in Dubai consultation with this step-by-step gui...

Breast Reduction in Dubai: A Path to Better Posture and...

Discover how Breast Reduction in Dubai can improve your posture, relieve discomf...

Can You Combine a Breast Lift in Dubai with Other Cosme...

Learn how you can safely combine a breast lift in Dubai with other cosmetic proc...

How to Find the Best Support Systems for Your Loved Ones

Learn how to find the best support systems for your loved ones, ensuring they re...

Top IVF Doctors in Mumbai: Your Guide to the Best Ferti...

Looking for the top IVF doctors in Mumbai? Bloom IVF is a leading fertility cent...

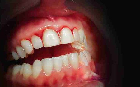
The Role of a Periodontist in Treating Bleeding Gums

Understand how periodontists treat bleeding gums and maintain gum health through...

Latest Advances in Gynecomastia Surgery in Dubai

Discover the latest advances in gynecomastia surgery in Dubai, including new tec...

A Guide to Recovery After Mesotherapy Treatment in Dubai

Wondering what to expect after mesotherapy? This guide to recovery after mesothe...

Instant Medical Certificate Generator – Create & Downlo...

Create professional medical certificates in minutes using our easy Medical Certi...